영상으로 확인하는
서울케이치과의 유튜브
궁금하고 걱정되는 치과 치료에 대해 안심하시도록
유튜브를 통해 다양한 정보를 제공하고 있습니다.
서울케이치과는
풍무역에 위치하고 있습니다.
Tel. 031. 986. 0775
주소 : 경기도 유현로 232, 에버리치빌딩 5층 (풍무동 15-6)
위치안내 : 풍무역 2번 출구
서울케이치과의원
주소 : 경기도 김포시 유현로 232, 에버리치빌딩 5층 (풍무동 15-6)
대표자 : 김성구 | 사업자등록번호 : 616-60-00420
TEL : 031. 986. 0775 | FAX : 031. 986. 0776
이용약관 | 개인정보 취급 방침 | 비급여 진료비 안내
언론에서 소개되는
서울케이치과의 발자취
저희는 환자중심 진료를 통해 치과에 대한 공포 없이 진료를 받을 수 있도록, 청결한 환경에서 진료를 받을 수
있도록 최대한 자연치를 살릴 수 있는 진료를 받을 수 있도록 고민하고 연구합니다.
서울케이치과는
풍무역에 위치하고 있습니다.
Tel. 031.986.0775
주소 : 경기도 유현로 232, 에버리치빌딩 5층 (풍무동 15-6)
위치안내 : 풍무역 2번 출구


서울케이치과의원 | 주소 : 경기도 김포시 유현로 232, 에버리치빌딩 5층 (풍무동 15-6)
대표자 : 김성구 | 사업자등록번호 : 616-60-00420
TEL : 031. 986. 0775 | FAX : 031. 986. 0776
이용약관 | 개인정보 취급 방침 | 비급여 진료비 안내
| 월요일 화-금 토요일 점심시간 | 10:00 ~ 19:00 10:00 ~ 18:30 10:00 ~ 14:00 (점심시간 없음) 13:00 ~ 14:00 |
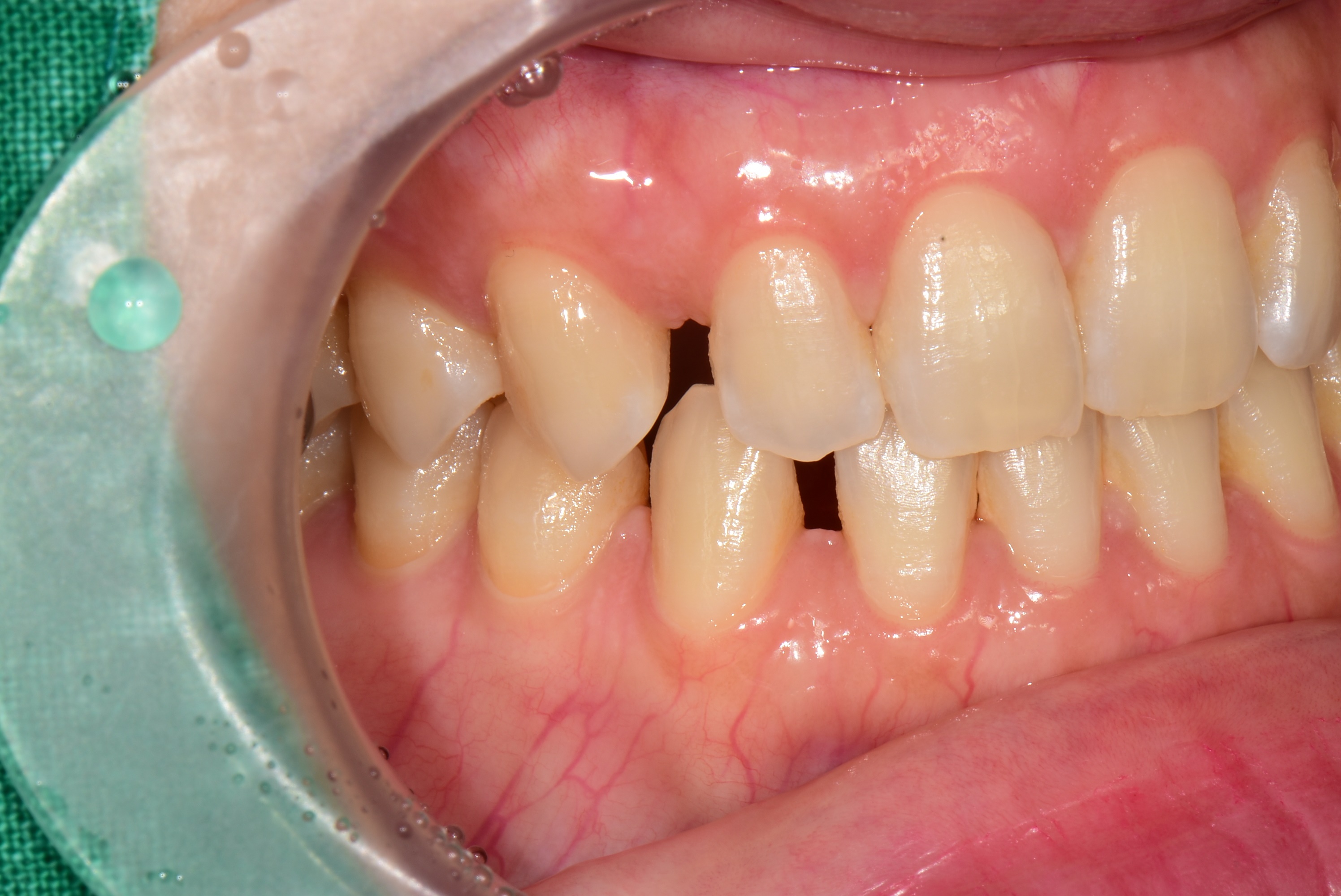
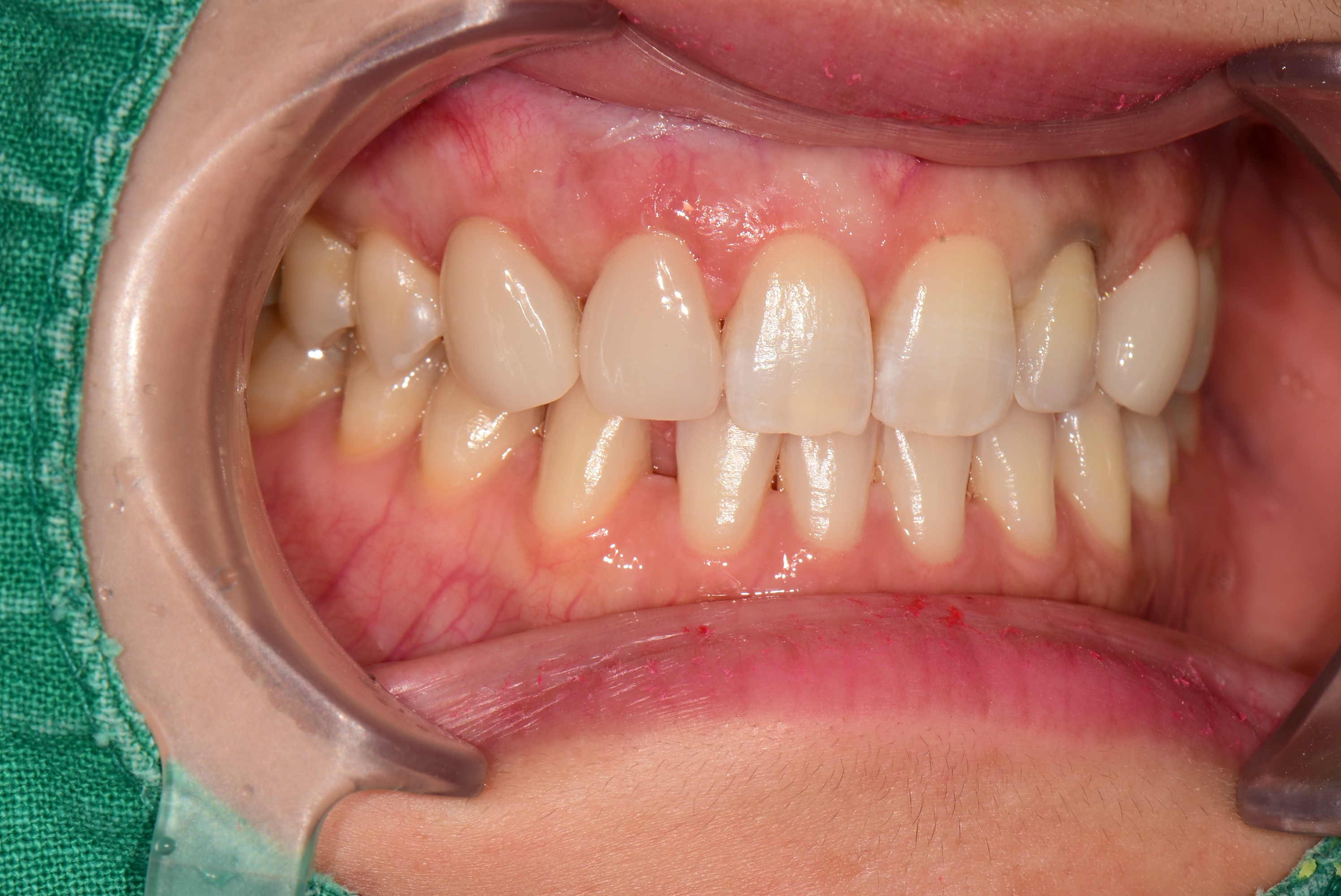
30대 여성분이 김포 서울케이치과에 '앞니 사이가 벌어져서 보기 싫어요'라며 내원하셨습니다.
검진 결과 우측 위 송곳니와 측절치 사이에 공간이 크고 아래 송곳니가 그 사이로 교합되는 상황이었습니다.
이런 경우에는 아래 송곳니 때문에 레진으로 부착할 경우 바로 탈락할 수 있어 송곳니와 측절치에 라미네이트로 치료 계획을 세웠습니다.
아래 치아 사이에도 공간이 있으나, 잘 보이지 않아 위에만 치료를 원하셨습니다.
<치료 전>
<치료 후>