영상으로 확인하는
서울케이치과의 유튜브
궁금하고 걱정되는 치과 치료에 대해 안심하시도록
유튜브를 통해 다양한 정보를 제공하고 있습니다.
서울케이치과는
풍무역에 위치하고 있습니다.
Tel. 031. 986. 0775
주소 : 경기도 유현로 232, 에버리치빌딩 5층 (풍무동 15-6)
위치안내 : 풍무역 2번 출구
서울케이치과의원
주소 : 경기도 김포시 유현로 232, 에버리치빌딩 5층 (풍무동 15-6)
대표자 : 김성구 | 사업자등록번호 : 616-60-00420
TEL : 031. 986. 0775 | FAX : 031. 986. 0776
이용약관 | 개인정보 취급 방침 | 비급여 진료비 안내
언론에서 소개되는
서울케이치과의 발자취
저희는 환자중심 진료를 통해 치과에 대한 공포 없이 진료를 받을 수 있도록, 청결한 환경에서 진료를 받을 수
있도록 최대한 자연치를 살릴 수 있는 진료를 받을 수 있도록 고민하고 연구합니다.
서울케이치과는
풍무역에 위치하고 있습니다.
Tel. 031.986.0775
주소 : 경기도 유현로 232, 에버리치빌딩 5층 (풍무동 15-6)
위치안내 : 풍무역 2번 출구


서울케이치과의원 | 주소 : 경기도 김포시 유현로 232, 에버리치빌딩 5층 (풍무동 15-6)
대표자 : 김성구 | 사업자등록번호 : 616-60-00420
TEL : 031. 986. 0775 | FAX : 031. 986. 0776
이용약관 | 개인정보 취급 방침 | 비급여 진료비 안내
| 월요일 화-금 토요일 점심시간 | 10:00 ~ 19:00 10:00 ~ 18:30 10:00 ~ 14:00 (점심시간 없음) 13:00 ~ 14:00 |
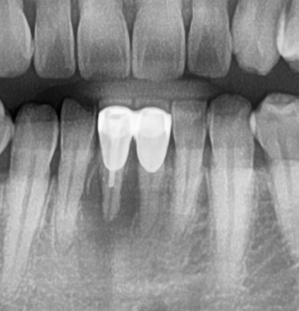
과거에 한 아래 앞니 브릿지의 지대치의 잇몸뼈가 모두 흡수되어 아프고 보기 싫다고 내원 하신 40대 남성분.
엑스레이 검사 후 아래 앞니 하나는 발치하고 브릿지로 재치료 하기로 계획하였습니다.
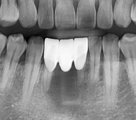
브릿지 치료 후 엑스레이