영상으로 확인하는
서울케이치과의 유튜브
궁금하고 걱정되는 치과 치료에 대해 안심하시도록
유튜브를 통해 다양한 정보를 제공하고 있습니다.
서울케이치과는
풍무역에 위치하고 있습니다.
Tel. 031. 986. 0775
주소 : 경기도 유현로 232, 에버리치빌딩 5층 (풍무동 15-6)
위치안내 : 풍무역 2번 출구
서울케이치과의원
주소 : 경기도 김포시 유현로 232, 에버리치빌딩 5층 (풍무동 15-6)
대표자 : 김성구 | 사업자등록번호 : 616-60-00420
TEL : 031. 986. 0775 | FAX : 031. 986. 0776
이용약관 | 개인정보 취급 방침 | 비급여 진료비 안내
언론에서 소개되는
서울케이치과의 발자취
저희는 환자중심 진료를 통해 치과에 대한 공포 없이 진료를 받을 수 있도록, 청결한 환경에서 진료를 받을 수
있도록 최대한 자연치를 살릴 수 있는 진료를 받을 수 있도록 고민하고 연구합니다.
서울케이치과는
풍무역에 위치하고 있습니다.
Tel. 031.986.0775
주소 : 경기도 유현로 232, 에버리치빌딩 5층 (풍무동 15-6)
위치안내 : 풍무역 2번 출구


서울케이치과의원 | 주소 : 경기도 김포시 유현로 232, 에버리치빌딩 5층 (풍무동 15-6)
대표자 : 김성구 | 사업자등록번호 : 616-60-00420
TEL : 031. 986. 0775 | FAX : 031. 986. 0776
이용약관 | 개인정보 취급 방침 | 비급여 진료비 안내
| 월요일 화-금 토요일 점심시간 | 10:00 ~ 19:00 10:00 ~ 18:30 10:00 ~ 14:00 (점심시간 없음) 13:00 ~ 14:00 |
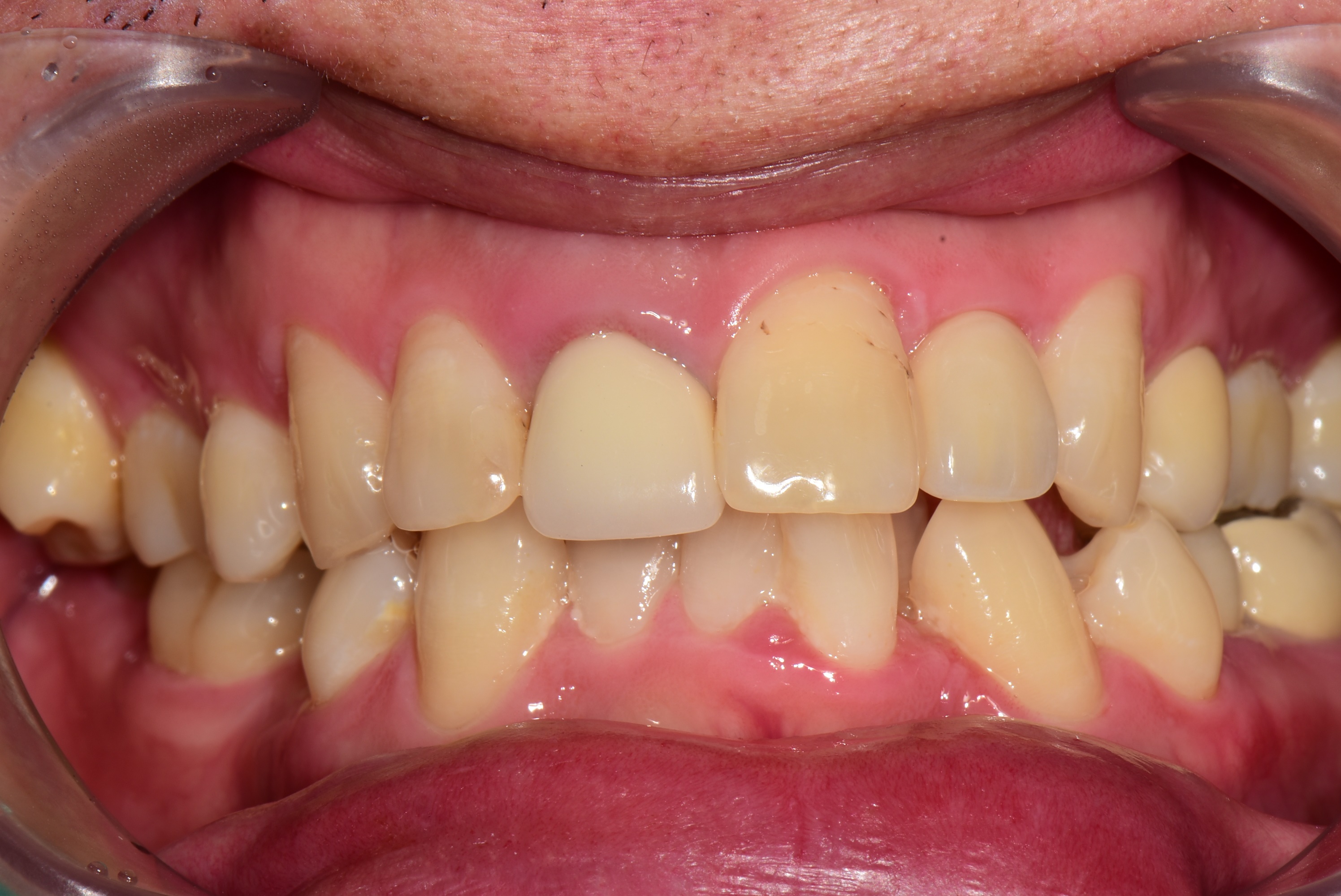
30대 남성분이 넘어져서 앞니가 흔들린다고 고촌치과에 내원하셨습니다.
CT 검사 결과 치아 머리 부분이 부러졌습니다.
살릴 수는 없는 상황이라 발치 즉시 임플란트와 즉시 임시치아를 계획하였습니다.
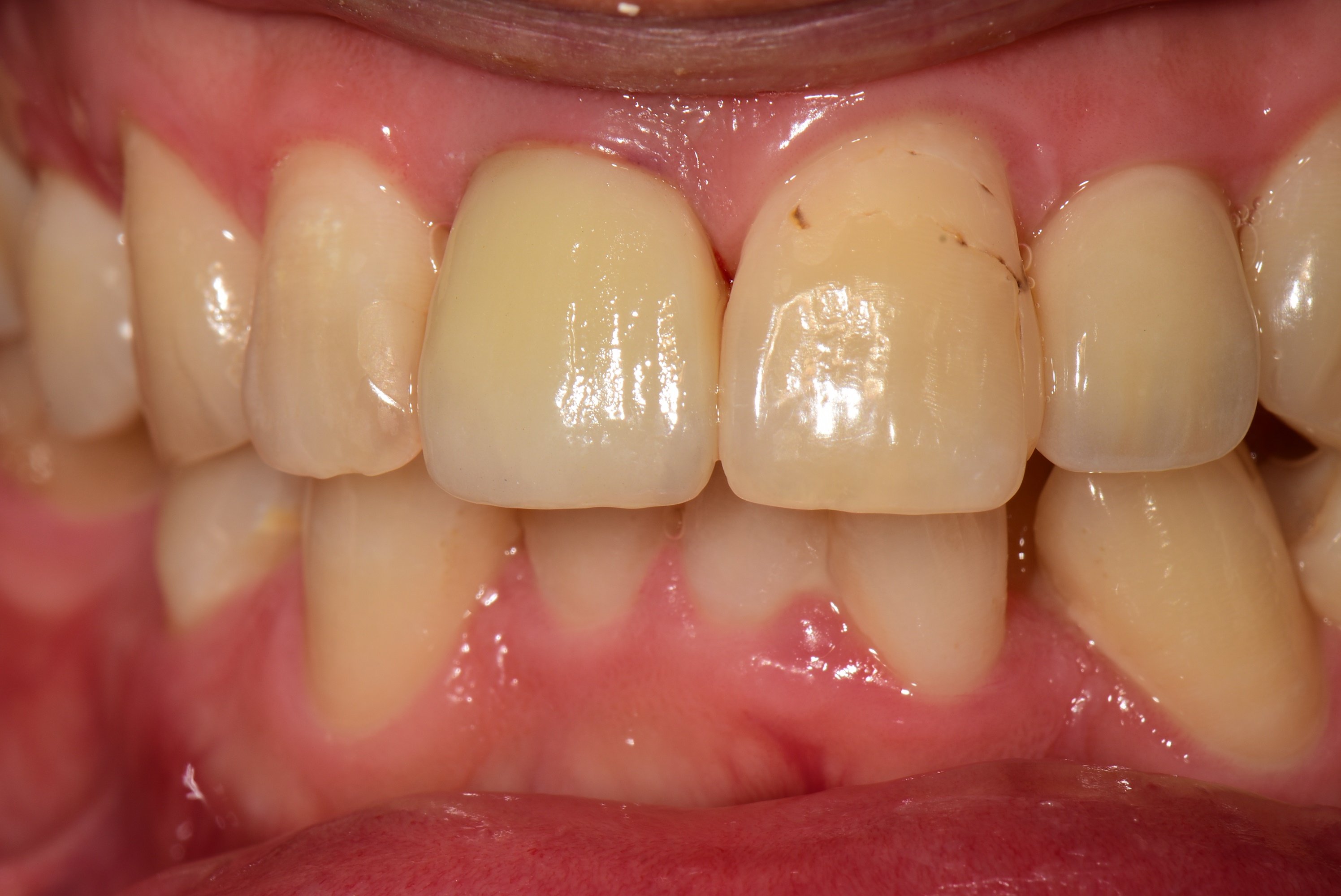
임플란트 식립후 임시치아를 바로 제작한 후 사진입니다.
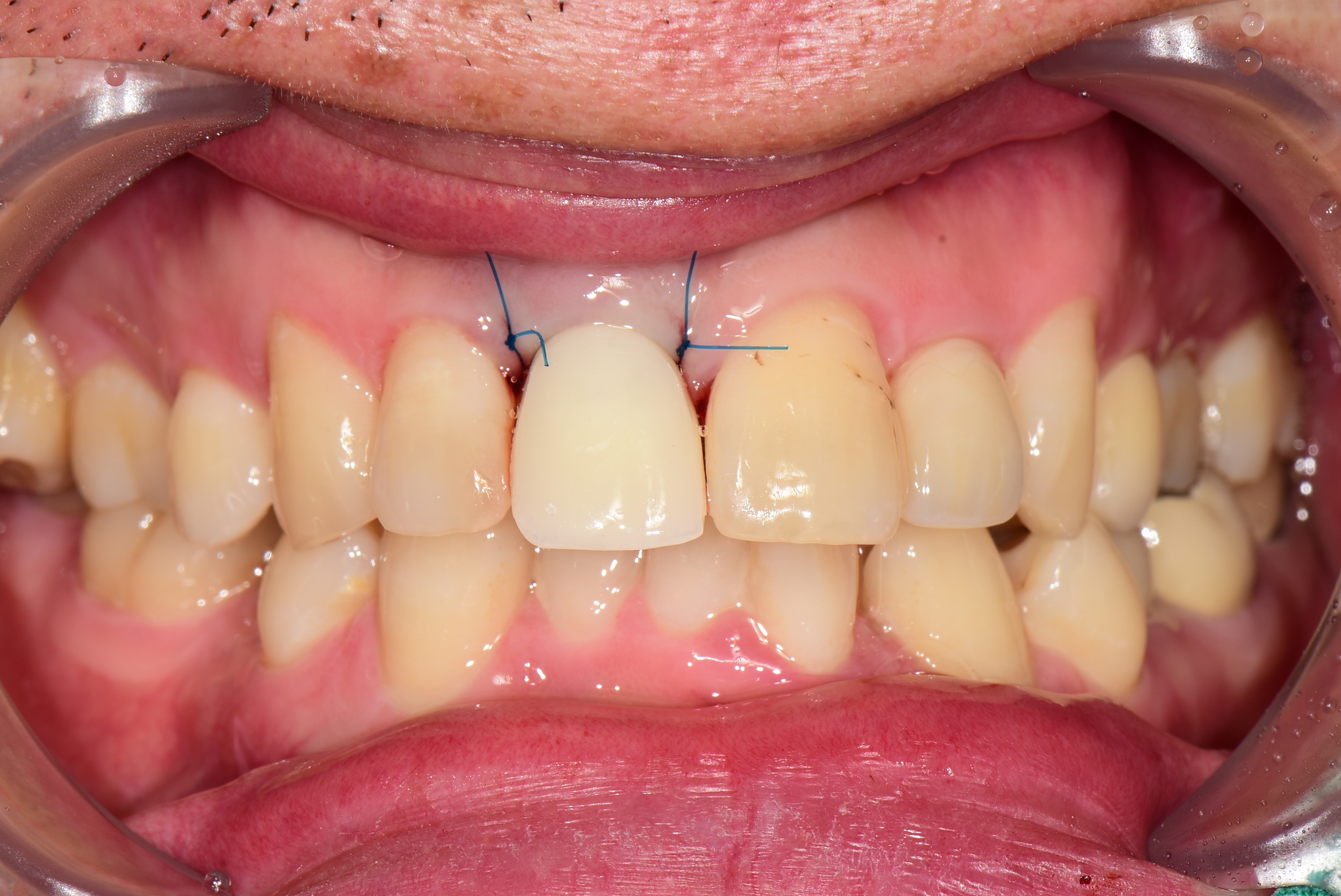
아래는 3개월 후 최종 보철 후 사진입니다.