영상으로 확인하는
서울케이치과의 유튜브
궁금하고 걱정되는 치과 치료에 대해 안심하시도록
유튜브를 통해 다양한 정보를 제공하고 있습니다.
서울케이치과는
풍무역에 위치하고 있습니다.
Tel. 031. 986. 0775
주소 : 경기도 유현로 232, 에버리치빌딩 5층 (풍무동 15-6)
위치안내 : 풍무역 2번 출구
서울케이치과의원
주소 : 경기도 김포시 유현로 232, 에버리치빌딩 5층 (풍무동 15-6)
대표자 : 김성구 | 사업자등록번호 : 616-60-00420
TEL : 031. 986. 0775 | FAX : 031. 986. 0776
이용약관 | 개인정보 취급 방침 | 비급여 진료비 안내
언론에서 소개되는
서울케이치과의 발자취
저희는 환자중심 진료를 통해 치과에 대한 공포 없이 진료를 받을 수 있도록, 청결한 환경에서 진료를 받을 수
있도록 최대한 자연치를 살릴 수 있는 진료를 받을 수 있도록 고민하고 연구합니다.
서울케이치과는
풍무역에 위치하고 있습니다.
Tel. 031.986.0775
주소 : 경기도 유현로 232, 에버리치빌딩 5층 (풍무동 15-6)
위치안내 : 풍무역 2번 출구


서울케이치과의원 | 주소 : 경기도 김포시 유현로 232, 에버리치빌딩 5층 (풍무동 15-6)
대표자 : 김성구 | 사업자등록번호 : 616-60-00420
TEL : 031. 986. 0775 | FAX : 031. 986. 0776
이용약관 | 개인정보 취급 방침 | 비급여 진료비 안내
| 월요일 화-금 토요일 점심시간 | 10:00 ~ 19:00 10:00 ~ 18:30 10:00 ~ 14:00 (점심시간 없음) 13:00 ~ 14:00 |
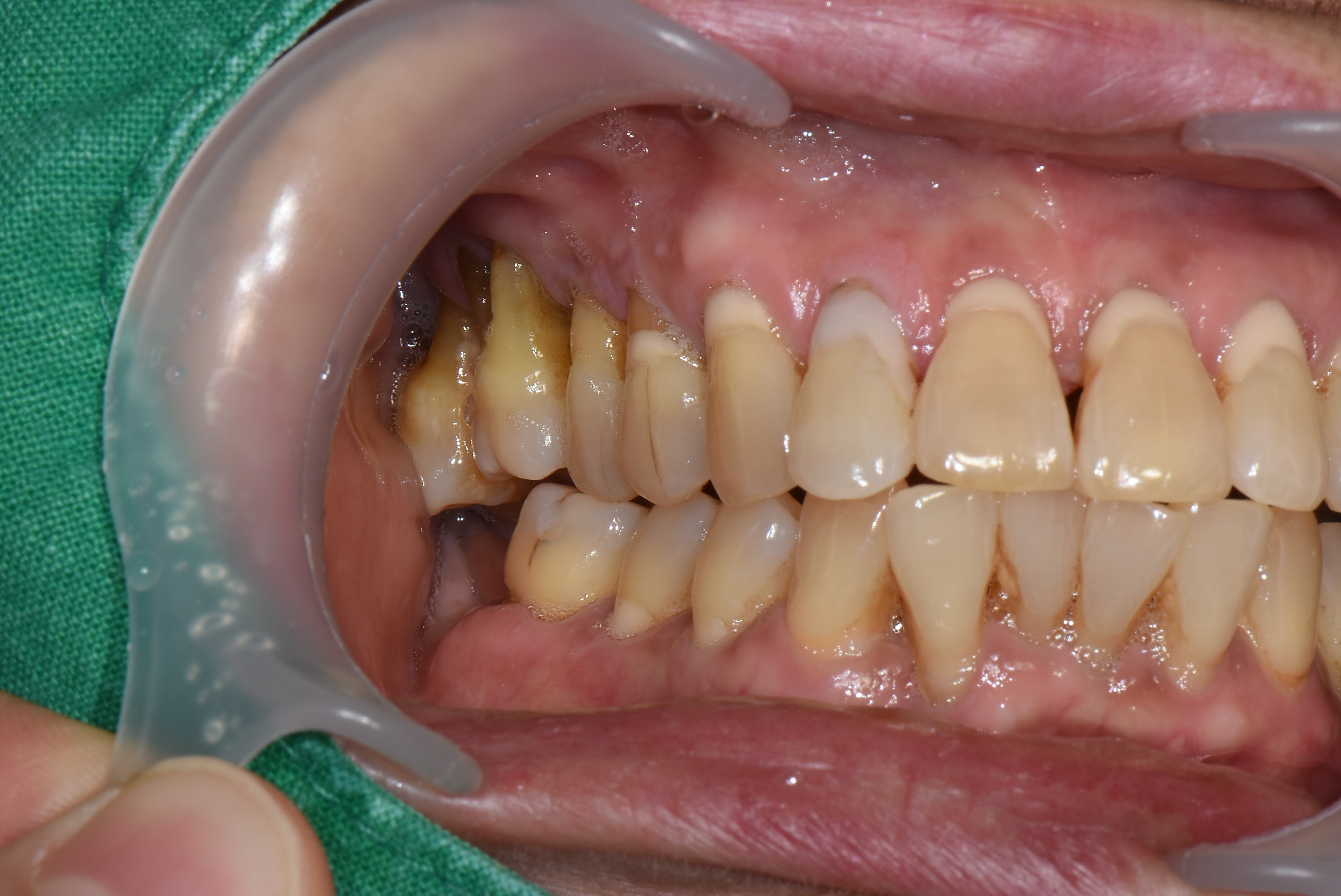
오랜 기간 아래 어금니가 없이 지내셨던 50대 여성분이 김포 서울케이치과에 내원 하셨습니다.
검진을 해보니 위에 양쪽 어금니가 많이 내려와 있고 치주염이 심하여 흔들리고 있었습니다.
치아를 살리기에는 이미 늦은 상태로 발치 후 임플란트로 치료 계획을 세웠습니다.
<처음 상태>
파노라마 엑스레이와 구내 사진에서 보듯이 위에 양쪽 어금니는 모두 발치가 필요한 상태입니다.
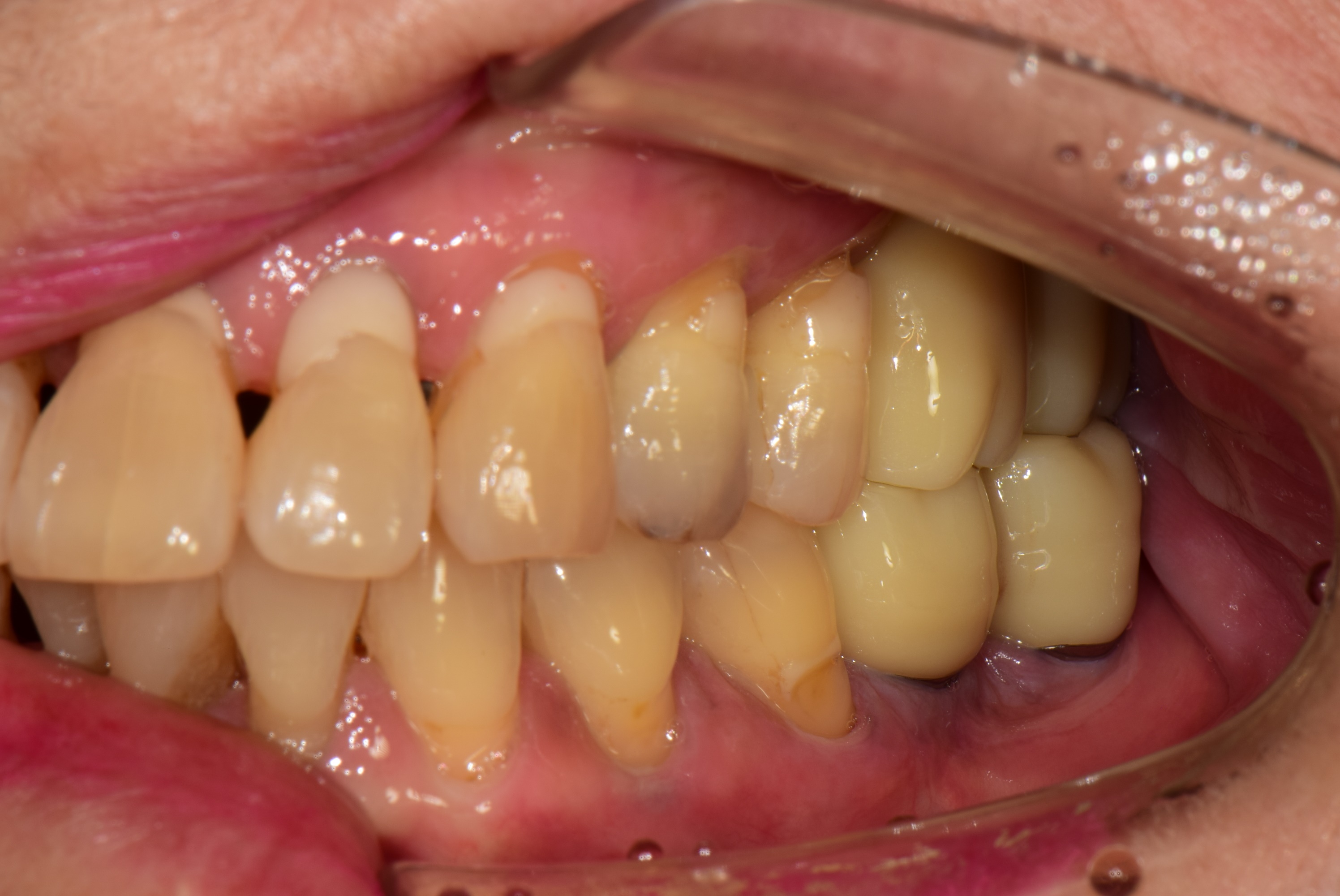
<치료계획>
오른쪽(사진상 왼쪽) 위 4개의 어금니 발치 후 3개 임플란트 식립
왼쪽 위(사진상 오른쪽) 위 2개의 어금니 발치 후 2개 임플란트 식립
왼쪽 아래 2개의 임플란트 식립.
모든 임플란트는 네비게이션을 이용하여 식립했습니다.
사진: 네비게이션 임플란트 계획
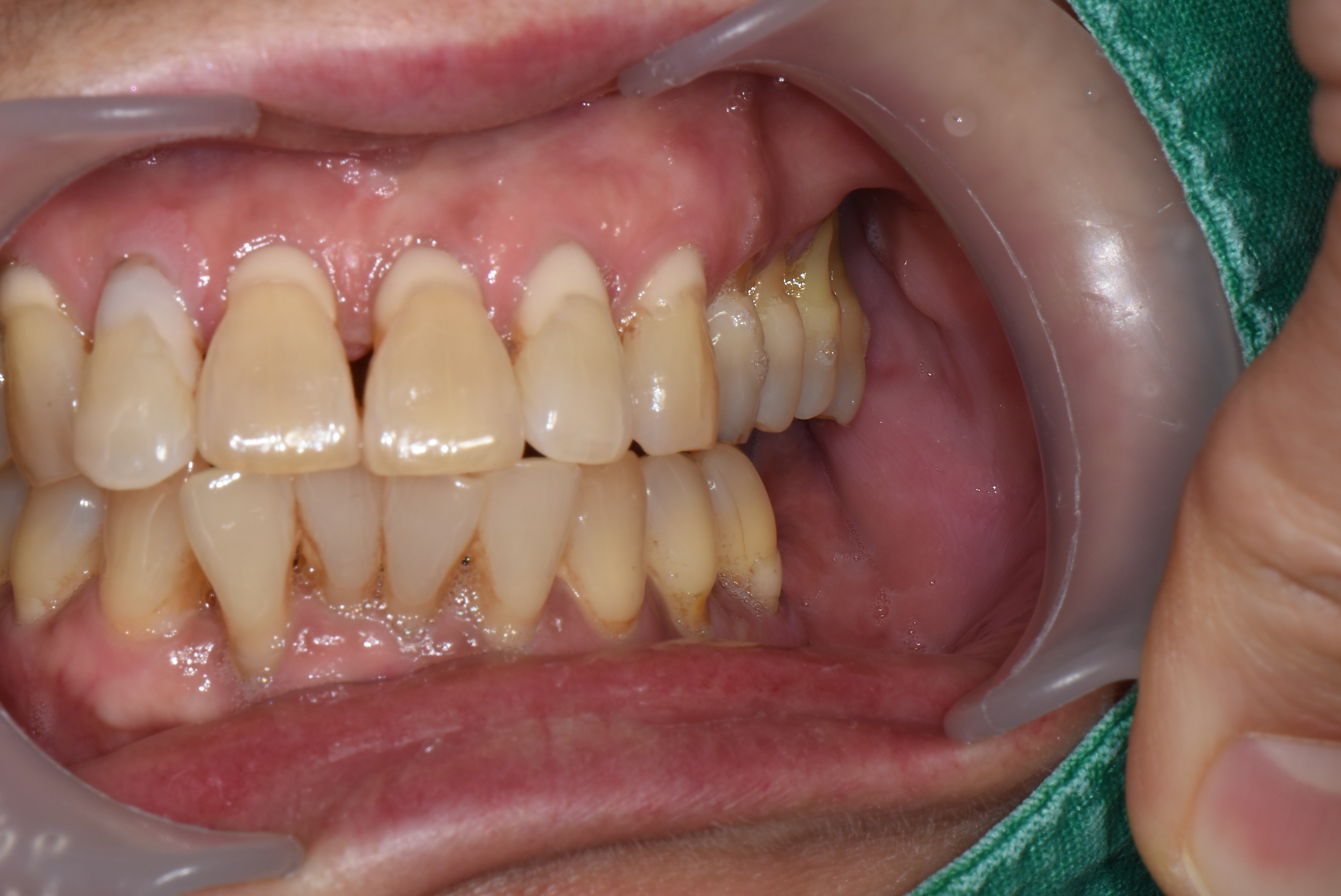
<치료 후>