“원칙을 지키기에
믿을 수 있는 진료”
COMMUNITY
김포 풍무동 서울케이치과에서 다양한 치과 치료 정보를 정직하게 전해드립니다.
김포치과 서울케이치과의 모든 의료진은 방문해 주시는 모든 분들을 위해
정직한 진료, 최선의 진료를 진행하고 있습니다.
풍무동 서울K치과에서 제공하는 다양한 주제의 치과치료 정보를 확인해보세요.
SEOUL K DENTAL CLINIC
서울케이치과는
원칙을 지키며 타협하지 않습니다.
최고의 진료를 위해 끊임없는 연구와 아낌없는 투자를 지속하며,
환자의 만족스러운 미소를 가장 큰 보람이자 자부심으로 여기고 있습니다.
완성도 높은 치료를 위한
5인의 과별 협진 치료
K치과는 보건복지부 인증을 받은 과별 전문의들의 협진으로
환자 한 분, 한 분께 보다 완성도 높은 치료를 제공해드리고 있습니다.
김예림 원장
보존과 원장
심재승 원장
보철과 원장
김성구 대표원장
치의학 박사
박원용 원장
통합과 원장
안정호 원장
교정과 원장
자체 기공실 운영으로
정확도는 UP, 치료기간은 DOWN
서울K치과는 자체 기공실이 있어 환자가 원하는 치아의 모양과 디자인을
그 자리에서 즉각적으로 반영할 수 있기에 만족도가 높습니다.
3D 디지털 장비로 맞춤 보철물 제작
서울K치과는 3D 구강스캐너 및 CAD/CAM 등의 첨단 디지털 장비를 활용하여
환자 개개인에 맞춘 보철물을 신속하고 정밀하게 제작하고 있습니다.
임플란트 시술 시간 단축 가능
자체기공실 운영으로 인해 임플란트 시술 시 내원횟수와 시술시간을 단축할 수 있고
보철물의 정확도를 높여 환자분들이 시술 후 더욱 만족하실 수 있습니다.
많은 분들이 서울K치과를
믿고 소개해주시는 3가지 이유
많은 분들이 추천을 받고 저희 치과를 찾아주십니다.
우수한 의료진의 과별 전문진료
서울K치과는 서울대학교 치의학전문대학원에서
10년간 외래교수로 활동한 대표원장을 비롯하여
보건복지부에서 인증한 각 과별 전문의들이
높은 수준의 치료를 제공해 드리고 있습니다.
디지털 시스템을 통한 정확한 시술 진행
3차원 CT를 이용하여 정확한 진단과
3D 컴퓨터 시뮬레이션으로 임플란트 시술의 정확도를 높이고,
3D스캐너 및 CAD/CAM을 활용한 정밀 가공으로
우수한 치료 결과를 보여주고 있습니다.
환자 중심의 철저한 사후관리
서울K치과를 믿고 소개해주시는 많은 이유는 치료 받으시는
환자 한 분, 한 분을 항상 가족처럼 대하며 진료 및 치료, 그리고
사후 관리까지 이루어지기 때문입니다. 앞으로도 방문해주시는
모든 분들의 치아 건강을 책임질 수 있는 서울K치과가 되겠습니다.

서울K치과가 '대한민국 보건의료대상' 시상식에서 임플란트 부문 국회보건의료위원장상을 수상하였습니다.
금번 수상은 서울K치과의 우수한 의료 철학과 고객만족시스템으로 지역을 대표하는 치과로 발돋움한 자랑스러운 결실이었습니다.
앞으로도 방문하시는 환자 분들에게 보다 나은 치료와 고객만족을 제공하여 온 가족이 함께하는 평생 주치의로 자리매김하겠습니다.
영상으로 확인하는
서울케이치과의 유튜브
궁금하고 걱정되는 치과 치료에 대해 안심하시도록
유튜브를 통해 다양한 정보를 제공하고 있습니다.
서울케이치과는
풍무역에 위치하고 있습니다.
Tel. 031. 986. 0775
주소 : 경기도 유현로 232, 에버리치빌딩 5층 (풍무동 15-6)
위치안내 : 풍무역 2번 출구
서울케이치과의원
주소 : 경기도 김포시 유현로 232, 에버리치빌딩 5층 (풍무동 15-6)
대표자 : 김성구 | 사업자등록번호 : 616-60-00420
TEL : 031. 986. 0775 | FAX : 031. 986. 0776
이용약관 | 개인정보 취급 방침 | 비급여 진료비 안내
언론에서 소개되는
서울케이치과의 발자취
저희는 환자중심 진료를 통해 치과에 대한 공포 없이 진료를 받을 수 있도록, 청결한 환경에서 진료를 받을 수
있도록 최대한 자연치를 살릴 수 있는 진료를 받을 수 있도록 고민하고 연구합니다.
서울케이치과는
풍무역에 위치하고 있습니다.
Tel. 031.986.0775
주소 : 경기도 유현로 232, 에버리치빌딩 5층 (풍무동 15-6)
위치안내 : 풍무역 2번 출구


서울케이치과의원 | 주소 : 경기도 김포시 유현로 232, 에버리치빌딩 5층 (풍무동 15-6)
대표자 : 김성구 | 사업자등록번호 : 616-60-00420
TEL : 031. 986. 0775 | FAX : 031. 986. 0776
이용약관 | 개인정보 취급 방침 | 비급여 진료비 안내
| 월요일 화-금 토요일 점심시간 | 10:00 ~ 19:00 10:00 ~ 18:30 10:00 ~ 14:00 (점심시간 없음) 13:00 ~ 14:00 |
안녕하세요. 김포치과 닥터FM입니다.
치과에 오시는 많은 분들은 통증이나 심미적인 문제로 고민이 깊으시죠.
오늘은 넘어지면서 위 앞니 2개가 부러진 30대 남성 환자분의 사례를 통해, 앞니 임플란트와 뼈이식을 어떻게 진행했는지 자세히 말씀드려볼까 합니다.
1. 사고와 통증, 그리고 심리적 부담
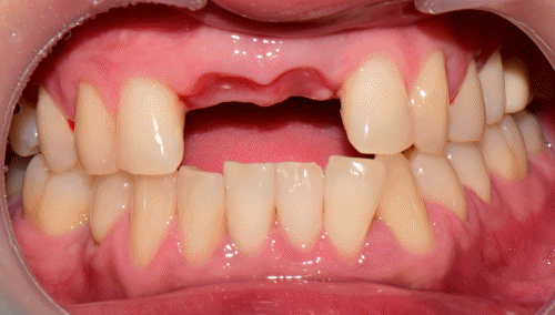
이 환자분은 출근길에 살짝 미끄러지는 바람에 넘어져 위 앞니가 두 개나 파절되는 부상을 입으셨습니다. 고통도 고통이지만, 부러진 치아가 겉으로 바로 보이니 미용적인 문제가 커서 대인관계에도 부담이 되었다고 하셨어요.
무엇보다 치과 치료 자체에 공포심이 있고, 드릴 소리나 마취 과정이 걱정되어 치료를 망설이셨다고 합니다. 하지만 빠른 시일 내에 적절한 조치를 취하지 않으면, 염증이나 뼈 손실이 심해져서 더 큰 문제로 이어질 수 있습니다.
2. 왜 앞니 임플란트와 뼈이식이 필요한가요?
넘어져서 치아가 부러진 경우, 부러진 위치를 먼저 확인합니다.
만약 뿌리까지 파절되어 살릴 수 없다면 발치 후 임플란트를 식립해야 합니다.
임플란트란, 간단히 말해 인공치근을 잇몸뼈에 심고 그 위에 치아 모양 보철물을 씌우는 치료입니다.
그런데 외상으로 이미 뼈가 손상되었거나 염증이 심하면, 임플란트를 튼튼하게 지지할 골 조직이 부족할 수 있습니다. 이때 필요한 것이 뼈이식(Bone Graft)이에요. 발치 후 생긴 빈 공간이나 녹아버린 뼈 부분에 인공뼈 등을 채워 넣어, 임플란트가 단단히 자리잡을 수 있도록 돕는 과정이죠.
3. 구체적인 치료 과정
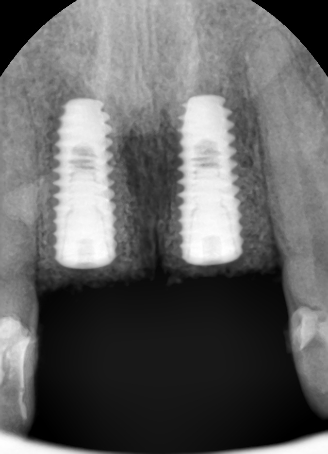
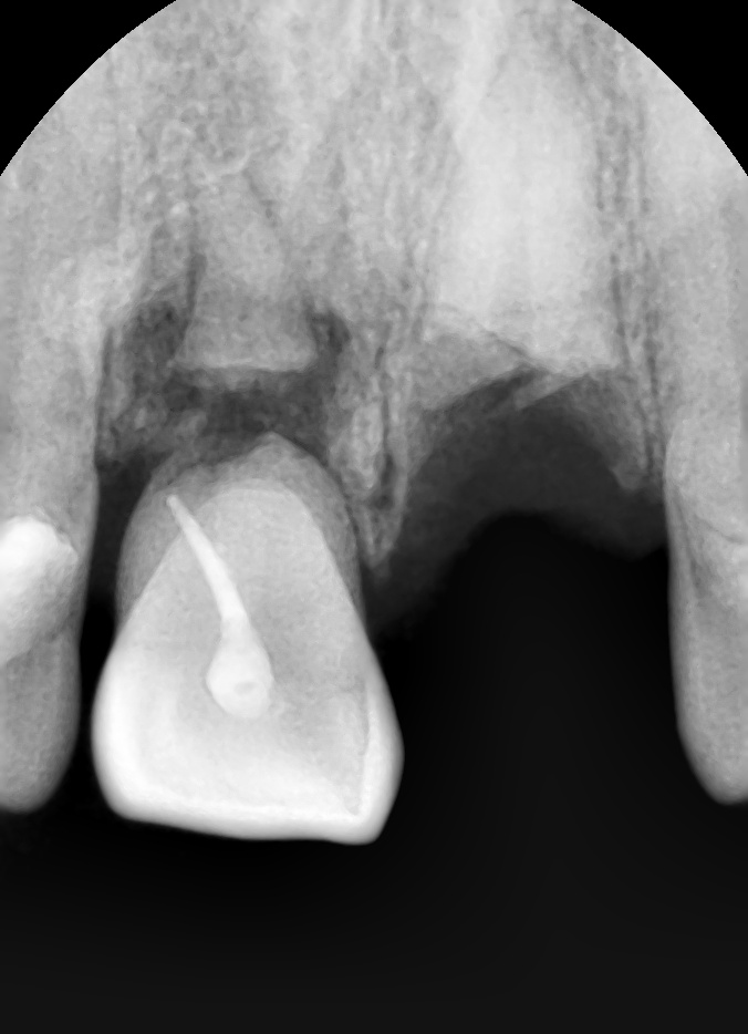
1) 정밀진단(X-ray, CT)
먼저 파노라마 X-ray와 CT 촬영으로 뿌리 상태와 뼈 손실 정도를 꼼꼼히 확인합니다. CT 이미지를 통해 파절 범위와 잇몸뼈 높이를 정확히 알 수 있지요.
2) 발치 및 뼈이식
깨진 치아가 더 이상 보존이 어렵다면 발치를 하게 됩니다. 발치 후 잇몸뼈가 부족한 부위에 인공뼈를 보충하는 과정을 진행해요. 이때 X-ray나 CT 이미지를 함께 보여드리면, 왜 뼈이식이 필요한지 환자분도 쉽게 이해하시더라고요.
3) 치유 기간
뼈이식을 했다면 골이 아물고 자리잡는 데 일정 기간이 필요합니다. 보통 3~4개월 정도 걸릴 수 있으나, 개인마다 차이가 있어요.
4) 임플란트 식립
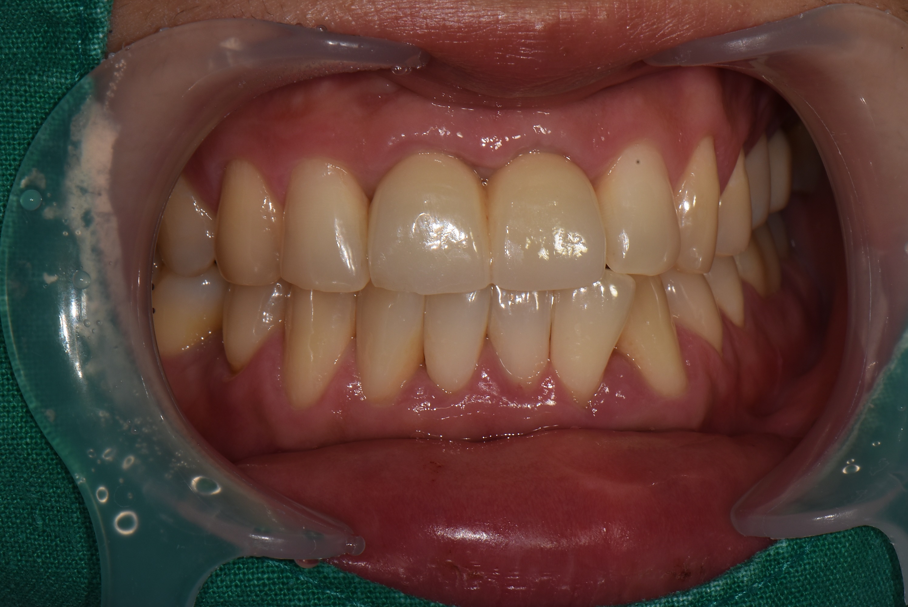
뼈가 충분히 안정되면, 그 위에 인공 치근(임플란트)을 심습니다. 앞니는 심미적으로 중요한 부위라 정확한 각도와 깊이가 상당히 중요합니다.
5) 보철물 장착

임플란트가 잇몸뼈와 잘 유착된 후, 최종 보철물(앞니 모양)을 연결합니다. 색상과 형태를 자연 치아에 가깝게 맞추기 때문에, 옆 사람이 봐도 임플란트인지 모를 정도로 자연스러워집니다.
4. 앞니 임플란트 치료 전후 사진
5. 치료 결과와 환자 경험
사고로 인한 치아 손실은 심리적인 충격도 큰 편입니다. 하지만 제때 적절한 임플란트와 뼈이식을 진행하면, 기능과 심미성을 모두 회복할 수 있습니다. 환자분 역시 처음에는 치료 과정이 무섭다고 느끼셨지만, 시술이 끝난 후에는 “그동안 걱정했던 것보다 훨씬 덜 힘들었어요.”라며 밝은 표정을 되찾으셨습니다.
6. 치료 방법과 대안, 두려움을 줄여보세요
“혹시 임플란트가 어렵다면 다른 방법은 없나요?” 하고 물으시는 분도 종종 있습니다.
치아 문제는 늦어질수록 염증이나 뼈 손실이 더 심해져, 결국 치료 과정이 길어지고 비용도 늘어납니다.
늦지 않게 치료받으세요!
정말 많은 분들이 사고로 치아가 깨지거나, 충치나 염증으로 앞니가 손상되어도 치료에 대한 두려움이나 비용 문제로 미루곤 하십니다. 그러다 보면 뼈 손실이 심해져서 더 복잡한 이식 수술이 필요하게 되는 경우가 허다합니다.
그렇기에 “너무 늦지 않게 치과에 방문하여 정확한 진단과 상담을 받아보세요!” 라고 꼭 권해드리고 싶습니다.
김포치과, 서울케이치과는 환자분들의 불안과 통증을 최소화하는 다양한 방법(수면치료, 가이드 임플란트 등)을 준비하고 있으니, 걱정하지 마시고 언제든 문의 부탁드립니다.
마무리
오늘은 30대 남성 환자분이 넘어져서 부러진 앞니 2개를 임플란트와 뼈이식으로 회복한 과정을 소개해드렸습니다. 치료 전과 후의 사진으로 비교해보면, 정말 자연스럽게 복원된 모습을 확인하실 수 있습니다.
치아 손상이나 통증으로 힘들어하시는 분들께 조금이나마 도움이 되길 바라며, 궁금한 점이 있다면 언제든 편하게 물어봐주세요. 닥터FM은 늘 환자분들의 건강한 미소를 위해 최선을 다하겠습니다!
감사합니다.